Productos
Férula oclusal

Férula oclusal

Lo siguiente trata sobre las férulas y la férula oclusal del protector bucal. Espero ayudarlo a comprender mejor las férulas y la férula oclusal del protector bucal.

Laboratorio dental subcontratado con férula oclusal con servicio de laboratorio a laboratorio llamado wmdentalb


"Controla el estándar por los detalles, muestra el poder por la calidad". Nuestra firma se ha esforzado por establecer un equipo de empleados extremadamente eficiente y estable y ha explorado un método de comando excelente y eficaz para la férula plana ODMOcclusal al por mayor. El concepto de nuestra empresa es "Sinceridad, velocidad, servicio y satisfacción". Seguiremos este concepto y ganaremos cada vez más el placer de los clientes.
Laboratorio dental ODM China al por mayor, buena calidad y buena estética. Nuestra empresa tiene abundante solidez y posee un sistema de red de ventas constante y perfecto. Deseamos poder establecer relaciones comerciales sólidas con todos los clientes nacionales y extranjeros sobre la base de beneficios mutuos.


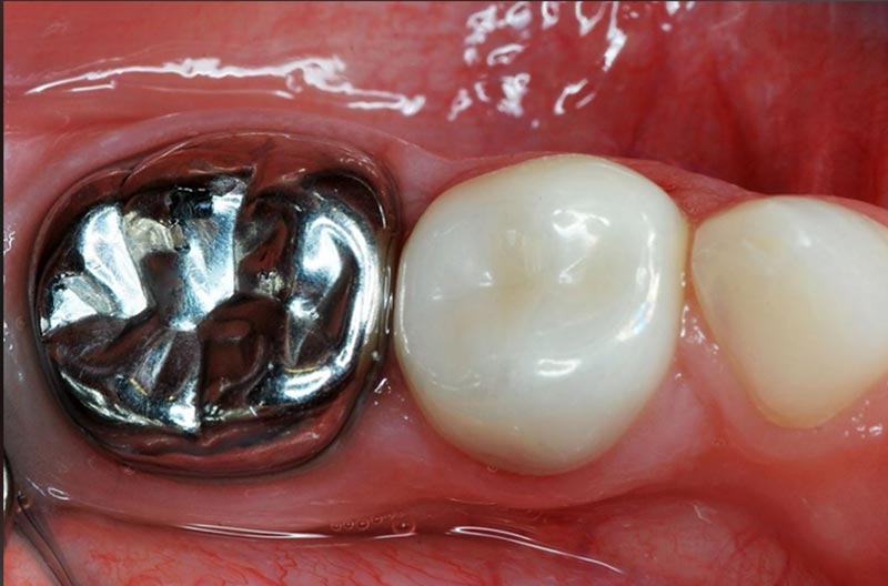
La férula del plano oclusal también se conoce como guardia nocturna dura. Los síntomas al usar esta férula son los mismos que los de la férula de contacto total con guía anterior sin ninguna articulación que haga clic. Se fabrica sobre el arco maxilar o mandibular. Es una férula de cobertura total con una superficie oclusal uniforme y plana para que los dientes antagonistas entren en contacto. La Férula Plana abre ligeramente la vertical y permite que el arco mandibular se asiente cómodamente en su propia posición coincidiendo con la Articulación Temporomandibular.


Etiquetas calientes: Laboratorio dental subcontratado de férula oclusal en China, fabricante, servicio de laboratorio a laboratorio, coronas dentales, corona de circonio, corona de PFM, centro dental de implantes dentales
Enviar Consulta
Datos de contacto
Si tiene consultas sobre los servicios de subcontratación de China Dental Lab, Digital Dental Lab y Crown and Bridge, déjenos su correo electrónico y nos comunicaremos con usted dentro de las 24 horas.
X
Utilizamos cookies para ofrecerle una mejor experiencia de navegación, analizar el tráfico del sitio y personalizar el contenido. Al utilizar este sitio, acepta nuestro uso de cookies. política de privacidad
Rechazar Aceptar